-
孢子虫 编辑
孢子虫顶复体门(Phylum Apicomplexa)的又称,孢子虫病是一类通过粪口途径传播的疾病,主要发生在胎盘动物当中。
中文名:孢子虫
别名:Phylum Apicomplexa
界:原生生物界
分布区域:胎盘动物
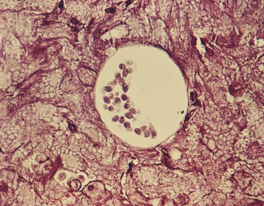
特点:卵囊呈圆形或椭圆形
孢子虫
病原体通常寄生在小肠肠壁上。免疫缺陷患者(如艾滋病病人)经常患有此类并发症,同时,由于免疫功能的不完善,寄生虫还可能会进入病人的肝,肺,胰和胆囊等器官,造成更为严重的病理反应。隐孢子虫病是一种水生疾病(waterborne disease),病原体在水中以卵囊(oocyte)形式存在并得以传播,对自然水中环境有较好的耐受性。
孢子虫卵囊呈圆形或椭圆形,孢子虫成熟卵囊内含4个裸露的子孢子和残留体孢子虫残留体由颗粒状物。孢子虫在改良抗酸染色标本中,孢子虫卵子孢子排列不规则,孢子虫形态多样隐孢子虫完成整个生活史只需一个宿主。
生活史简单,可分为孢子虫裂殖生殖,孢子虫配子生殖和孢子虫生殖阶段。孢子虫虫体在宿主体内的发育时期称为内生阶段。孢子虫随宿主排出的成熟卵阶段。
孢子虫
人和许多动物都是孢子虫的易感宿主,当孢子虫宿主吞食成熟卵囊后,在消化液的作用下,孢子虫子孢子在脱囊而出先附着于细胞,孢子虫在里,孢子虫在的胞下与胞质之间形成带虫空泡,孢子虫虫体在空泡内开始无性繁殖,孢子虫适应于先发育为滋养体,孢子虫分裂发育裂殖体。成熟孢子虫裂殖体含有多个裂殖子。孢子虫裂殖子被释出后侵入细胞,孢子虫发育为滋养体孢子虫滋养体经次核分裂发育为Ⅱ型裂殖体。孢子虫成熟裂殖体含裂殖子。孢子虫此裂殖子释出后侵入肠皮发育为雌、雄配子体,孢子虫进入生殖,虫体数量多时可遍布,孢子虫其体吸收营养,营养物质有细胞和非细胞物质。孢子虫雌配子体进一步发育为雌配子,雄配子体产生子,孢子虫雌雄配子结合形成合子,进入孢子生殖阶段。孢子虫合子发育为卵。孢子虫有孢子虫卵,孢子虫出后直接侵入宿主肠上皮细胞,孢子虫继续繁殖,孢子虫在宿主细胞内孢子化排出体外。
不能独立生活的孢子虫
孢子虫不是寄生在植物体,就是寄生在动物体内,决没有在自然界独立生活的。它们寄生范围很广,在蚕、峰、鱼类、牲畜乃至人类,无不为害,因此和人生关系十分密切。它们裹在孢子之内,才能混到自然界,由孢子传至其他生物,这是孢子虫生活史中的一环。疟原虫国由蚊子传布,就失去孢子形成的一环。
全部营养寄生生活,具有顶复合器结构,缺乏运动细胞器,或仅在生活史的一定阶段以鞭毛或伪足为运动胞器。生活史复杂,且多有两个寄生,有世代交替现象,无性生殖在脊椎动物体内,有性生殖在无脊椎动物体内。
孢子虫
读过三国演义的人,谁不赞绝诸葛亮聪明多智,运筹帷幄,决战千里,无不败之师。但在七擒孟获,大显雄风之际,大批士兵,倒毙于泸水之滨,委罪于瘴气。殊不知瘴气,即在自身红血球中的伏兵,竟可打败精兵。瘴气流行于我国云、贵等处,是恶性疟原虫蔓延所致。其他善性疟原虫,即三日两头(间日)的疟疾,死亡率比较低,即不算瘴气,但是损害身心,丧失劳动力,害处也是很大。原来疟原虫潜伏在红血球内,吸取血球养料为生,当滋长变成变形虫状时,而行分裂。它不像草履虫一分为二,而是有一分二十之多,所以繁殖要比草履虫快几十倍,在短短时期内,可繁殖得极多。间日疟,无性繁殖每经48小时一次,当疟原虫多分裂一次,穿破血球时,毒汁即散入血中,引起人们发寒、发热一次。无性繁殖持续一定时期之后,其中一部分,随转入有性生殖时期,形成大、小配子细胞。此时如有疟蚊(常蚊不中用,不能养洁疟原虫)来吸血入胃中,便在蚊子胃中当作洞房,雌雄配子进行配合。受精卵能移动,穿越胃壁,在胃壁外侧形成孢子囊,囊中分裂成许许多多孢子虫,至少有几千条,钻出囊壁,闯入唾液腺中,等候时机。它们不需结成孢子,孢子虫可由蚊吸血时,直接注射到健康的人体中。过一会,又开始无性生殖环,变成定时发作的疟疾。这样,无性继之有性,有性又转入无性的轮流繁殖,这与较为高等的腔肠动物的世代交替生殖,十分相似。因此,为了防止疟疾的蔓延,最根本的措施是消灭疟蚊,中断疟原虫的生命环。患了疟疾,当请医服药,是不难根除的。
瘴气
瘴气瘴气,惟东南之域乃有之。盖岭南地气卑湿,雾多风少,且以冬时常暖,则阴中之阳气不固,夏时凉,则阳中之阴邪易伤,故人有不知保重而纵欲多劳者,极易犯之,以致发热头痛,呕吐腹胀等证。盖重者即伤寒,轻者即疟疾,第在岭南病此,则均谓之瘴耳。然阳气外浮之乡,必内多真寒而外多假热;阴气不固之人,虽外有邪证而内必多虚,此则岭南瘴疫之大概也。但予未经其地,此不过亿度之见耳。及阅诸家之论,最多得理,足征予言之不诬也,谨详录在下,以资择用,庶临证者可无惑,而病此者得所赖矣。又细察诸论,亦已详悉,第病其用补之法犹有未尽,若值内伤虚损之甚而病此将危或难愈者,必以前瘟疫门治法参而用之,则庶乎有济。
瘴气的其他解释
1、中医中的瘴, 指南方山林中湿热蒸郁能致人疾病的有毒气体,多指是热带原始森林里动植物腐烂后生成的毒气。
2、辞海解释:“瘴:瘴气,指南方山林间湿热蒸郁致人疾病的气。”
3、《现代汉语词典》:“瘴气:热带或亚热带山林中的湿热空气。是古代壮族地区的常见病,广西素有“瘴乡”之称,正如《桂海虞衡志》所说:“瘴,两广惟桂林无之,自是而南,皆瘴乡矣”。简言之,瘴气是热带原始森林里动植物腐烂后生成的毒气,主要原因就是无人有效地处理动物死后的尸体,加上热带气温过高,为瘴气的产生创造了有利条件。而广西气候主要是以热带季风气候为主,炎热、多雨潮湿,是导致瘴气的主要原因。
孢子虫
孢子虫
孢子就是无性生殖细胞
不管是有性生殖还是无性生殖,都有两种情况:1、没有专门生殖细胞。如无性生殖中的分裂生殖、出芽生殖或营养繁殖;有性生殖中的结合生殖。水绵进行结合生殖的时候并不是产生专门的生殖细胞,完全就是普通的体细胞进行两两融合的。2、有专门的生殖细胞。如无性生殖中的孢子生殖;有性生殖中的配子生殖。
总之,只要是专门生殖的细胞,正常情况下不需要两两结合就可以单个细胞发育成一个个体,这就是孢子。
孢子是生物所产生的一种有繁殖或休眠作用的细胞,能直接发育成新个体。孢子一般微小,单细胞。由于它的性状不同,发生过程和结构的差异而有种种名称。生物通过无性生殖产生的孢子叫“无性孢子”,如分生孢子、孢囊孢子、游动孢子等;通过有性生殖产生的孢子叫“有性孢子”,如接合孢子、卵孢子、子囊孢子、担孢子等;直接由营养细胞通过细胞壁加厚和积贮养料而能抵抗不良环境条件的孢子叫“厚垣孢子”、“休眠孢子”等。孢子有性别差异时,两性孢子有同形和异形之分。前者大小相同;后者在大小上有区别,分别称大、小孢子,并分别发育成雌、雄配子体,这在高等植物较为多见。
电子游戏孢子简介
制作小组:Maxis
出版公司:美国艺电(Electronic Arts)
游戏类型:模拟(SIM)
发布日期:2008年9月7日
孢子是一个多种游戏类型整合的单机游戏,由Maxis负责开发。游戏让玩家控制一个物种,使之从单细胞开始进化到智慧生命,进而进行空间探索。游戏已于9月7日发行。而之前则有偷跑版发售。俗称“那啥”。
特别版《SPORE 银河版》简介
将你自己完全地沉浸在《SPORE 银河版》的体验中。你会获得“用SPORE创造(Making of SPORE)”DVD,《SPORE艺术(The Art of SPORE)》精装硬皮迷你书,来自国家地理的“如何创造更佳生物(How to Build a Better Being)特别电视,一张折页海报和一本100页的赠品《银河手册》。
孢子虫
孢子虫
1、本站所有文本、信息、视频文件等,仅代表本站观点或作者本人观点,请网友谨慎参考使用。
2、本站信息均为作者提供和网友推荐收集整理而来,仅供学习和研究使用。
3、对任何由于使用本站内容而引起的诉讼、纠纷,本站不承担任何责任。
4、如有侵犯你版权的,请来信(邮箱:baike52199@gmail.com)指出,核实后,本站将立即删除。

















