-
孤立肾 编辑
胚胎时期,一侧的生肾组织或输尿管芽生长障碍引起不发育或发育不充分,病侧肾缺如或肾发育不良,则致健侧孤立肾。如果孤立肾的功能良好,不会有症状,常偶然发现。X线见一侧肾阴影增大,对侧肾缺如。膀胱镜检仅见一个输尿管口。对侧肾发育不全可致腰痛、高血压症等。任何肾切除之前,应查清对侧肾情况,避免孤立肾被切除,即“单肾”。
中文名:孤立肾
外文名:lonely kidney/solitary kidney
单侧肾缺如:由于一侧的生肾组织或输尿管芽不发育所引起,多见于男性。男性单侧肾不发育还常伴有单侧睾丸发育不良或缺如;女性则常合并单侧卵巢或输卵管缺如或发育不良等。单侧肾缺如的严重性在于当孤立肾有病变或受到外伤后,因不了解患者只有一个肾而轻易施行肾切除。因此,进行肾切除手术前必须查明对侧肾的情况。
孤立肾肾结石:孤立肾由于失去健肾的代偿和流经肾脏局部的结石成分浓度相对较高,发生结石和梗阻的机会明显高于正常人,容易出现梗阻而引起尿路感染和肾功能损害 。
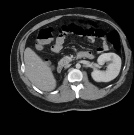
诊断孤立肾须通过详细的体格检查、静脉肾盂造影、CT等作出正确诊断,对于孤立肾并发结石和梗阻或感染,手术时要注意保存具有肾功能的组织。应加强监测,并发症处理应及时有效,防止肾功能不全发生。
孤立肾的X线诊断以静脉肾盂造影同时加腹膜后充气造影所见为准,一侧无肾轮廓,肾盂不显影,对侧肾脏包括肾孟及输尿管均有增大。鉴别诊断中应与横过异位肾、融合肾(包括马蹄肾、盘状肾和乙状肾)相区别。横过异位肾:虽一侧无肾,但对侧仍有一位置正常的肾及一位置不正常一横过异位肾,系两肾。并非独肾。融合肾:若两肾的上极或下极相融合叫马蹄肾。若两肾的上、下极都互相融合则为盘状肾。若一侧肾上极与另一侧肾下极相融合则为乙状肾。融合肾因血供及肾形态崎形的关系,一般位置偏低,大多位于盆腔或第五腰推水平。其中马蹄肾是最常见的一种,并有一定临床意义。
融合肾虽两肾外形可融合。但肾孟却明显分开,抽尿管都从左、右两侧进入膀胱。与独肾的一个肾孟,一条输尿管;或独肾的为肾盂双输尿管同侧进入膀胧是不同的 。
在胚胎时期,肾的发育过程包括原肾、中肾及后肾3个阶段,其中任何一个阶段发生紊乱,都可能引起肾先天性异常。当一侧生肾组织或输尿管芽等生长紊乱,未能发育,即形成孤立肾。其在临床上多无特殊表现,影象学检查是明确诊断的主要手段。传统的x线检查带局限性,现已少用或不用,腹膜各充气造影亦被淘汰,腹主动脉造影虽可能获得明确诊断,但其为有创伤性检查;B超检查简便经济,亦较准确及时,但毕竟有一定的误诊率CT检查扫描是诊断先天性孤立肾最可靠的方法,它同时还能观察孤立肾本身及其周围脏器的病变。但CT扫描费用较高,可以认为诊断孤立肾可首选B超检查,在无法确定诊断的悄况下再辅以CT扫描比较适宜 。
MSCT对孤立肾的诊断:结合平扫、增强扫描薄层图像综合分析可以明显提高本病诊断的敏感性及特异性。增强扫描时将增强的肾上腺分支或连于肾静脉的性腺静脉误认为是肾发育不良,而肾发育不全、肾发育不良及异位肾也易于误诊为本病,在诊断中应予以注意。孤立肾并发结石的危害要明显高于普通人群,更需要积极、早期治疗以防发生肾衰竭 。
注意孤立肾代偿性肥大的现象,防止术中误认为病肾作切除。诊断孤立肾须通过详细的体格检查、静脉肾盂造影、CT等作出正确诊断,对于孤立肾并发结石和梗阻或感染,手术时要注意保存具有肾功能的组织。应加强监测,并发症处理应及时有效,防止或延缓肾功能不全的发生。
1、本站所有文本、信息、视频文件等,仅代表本站观点或作者本人观点,请网友谨慎参考使用。
2、本站信息均为作者提供和网友推荐收集整理而来,仅供学习和研究使用。
3、对任何由于使用本站内容而引起的诉讼、纠纷,本站不承担任何责任。
4、如有侵犯你版权的,请来信(邮箱:baike52199@gmail.com)指出,核实后,本站将立即删除。

















