-
纤维软骨 编辑
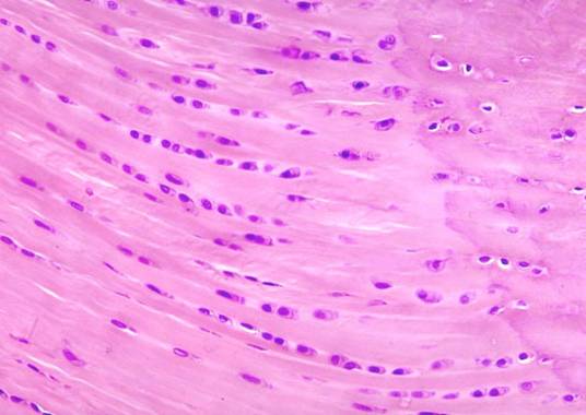
是结缔组织与软骨之间的一种过渡类型。在新鲜状态下呈乳白色,不透明,具有一定的伸展性。其结构特点是在基质中含有大量的呈平行或交叉排列的胶原纤维束。软骨细胞较小而少,卵圆形,常成行排列,位于纤维束之间。基质中含有大量成束的胶原纤维,软骨细胞散在纤维束之间。肉眼观察软骨呈白色。软骨与其相连的致密胶元纤维结缔组织之间,无明显的界线。所有关节周围的肌腱韧带骨化都是这些软骨组织增生骨化的结果。纤维软骨常分布在椎间盘、关节盂、关节软骨盘、耻骨联合之间的联系物和关节软骨上肌腱关节囊韧带的附着部分。
此种软骨分布于椎间盘、耻骨联合、关节盘以及某些肌腱和韧带附着于骨的部位。人到老年,某些透明软骨可逐渐转化为纤维软骨,此为人到老年的早期象征之一。
本伤多见于体操运动员,而摩托越野、网球、排球次之。腕软骨盘为三角形的纤维软骨,周围厚,中间薄,其尖部附着于尺骨茎突基底小窝,底部附于桡骨远端的尺骨切迹边缘,覆盖于尺骨头上,间隔桡腕关节与下尺桡关节,将此两滑膜腔分开。并和背侧掌侧韧带一起限制前臂过度旋转活动,维持下尺桡关节稳定,防止尺桡骨分离及前后移位。
腕三角软骨盘解剖:
本损伤见于下列情况:①并发于桡骨下端骨折或下尺桡关节脱位。②腕过度背伸和旋转致伤。急性损伤,常因腕支撑用力旋转,或向尺侧挤压使下尺桡关节发生异常活动引起。慢性损伤,多为腕反复背伸支撑,旋转挤压引起。
尺骨小头远端背侧或尺侧间隙有疼痛及压痛、腕背伸支撑及尺偏旋转时疼痛较明显、垂直悬吊时无疼痛。损伤早期局部有肿胀,腕转动有“卡嗒”弹响,运动受限,握力减弱。并发下尺桡关节脱位时,尺骨小头较对侧隆起,前后推动时有松动感,软骨盘挤压试验阳性(腕极度背伸,尺偏并加挤压捻转,在尺骨小头远侧有疼痛者为阳性)。
腕关节X线造影对诊断有一定价值。碘剂造影显示清晰,但疼痛反应较剧,空气造影显像不如碘剂,但充气适当亦可达到诊断目的。若造影剂从桡腕关节进入下尺桡关节,使囊状隐窝显影则表示软骨盘有破裂或附着点撕裂。但正常人软骨盘可有中央穿孔导致假阳性,而有的软骨盘撕裂后又发生粘连,使造影剂不能进入下尺桡关节而显示阴性,故须结合临床病史及体征来作出诊断。
1、本站所有文本、信息、视频文件等,仅代表本站观点或作者本人观点,请网友谨慎参考使用。
2、本站信息均为作者提供和网友推荐收集整理而来,仅供学习和研究使用。
3、对任何由于使用本站内容而引起的诉讼、纠纷,本站不承担任何责任。
4、如有侵犯你版权的,请来信(邮箱:baike52199@gmail.com)指出,核实后,本站将立即删除。

















