-
虹膜炎 编辑
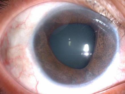
虹膜炎,眼睛疾病,即虹膜发炎。有时候虹膜后面的睫状体也会一起发炎。虹膜发炎时,发炎区的微小白色细胞及眼内小血管漏出的过多蛋白质,飘浮在虹膜与角膜间的房水中。如果房水中飘浮的细胞太多,它们会攻击角膜的后面,也会在房水中沉淀。造成虹膜炎的原因不明。一只眼或双眼都可能受影响。虹膜炎的初期症状是眼睛发红、觉得不适或疼痛,伴随而来的症状是视力略微减退。如果你去照镜子,你用肉眼就可以看见聚集在角膜后面的细胞,虹膜炎的症状通常不严重。可以用中医,西医等方法治疗,如果及早治疗,虹膜炎很容易治好。
中医病名:虹膜炎
常见发病部位:眼睛
虹膜炎症状
如果及早治疗,虹膜炎很容易治好。不过,如果由于其症状轻微而不去看医生,它会产生并发症。许多白色细胞会聚积在房水中,阻塞了房水排出眼外的通道。此时即可能够引发急性青光眼。如果发炎的虹膜后面贴住晶状体的前面,将房水困在虹膜后面,也可能会引发急性青光眼。长期虹膜炎还能引发白内障。
眼睛只要有不明原因的发红、不适或视力丧失迹象,不管其症状多么轻微,应该立即去看眼科医生。
即使是治疗最早,虹膜炎仍还会复发。不过,在大多数情况下,虹膜炎会完全消退,而患者视力多少会有点受损。
虹膜炎虹膜后粘连
原发性虹膜炎多由于虹膜损伤和眼房内寄生虫的刺激;继发性虹膜炎继发于各种传染病(如流行性感冒、腺疫、口蹄疫、鼻疽和牛恶性卡他热),也可能是邻近组织的炎症蔓延的结果。患眼羞明、流泪、增温、疼痛剧烈。虹膜由于血管扩张和炎性渗出致肿胀变形,纹理不清,并失去其固有的色彩和光泽。眼前房由于渗出物的积蓄而浑浊。由于房水浑浊变性和睫状前动脉扩张,角膜营养受影响,因此,角膜呈轻度弥漫性混浊。因瞳孔括约肌痉挛和虹膜肿胀,瞳孔常缩小,并对散瞳药的反应迟钝。由于瞳孔缩小和调节不良易形成后粘连。
虹膜炎的初期症状是眼睛发红,觉得不适或疼痛,伴随而来的症状是视力略微减退。如果你去照镜子,你用肉眼就可以看见聚集在角膜后面的细胞,虹膜炎的症状通常不严重。
治疗原则
眼解剖图
即使是治疗最早,虹膜炎仍还会复发。不过,在大多数情况下,虹膜炎会完全消退,而患者视力多少会有点受损。
虹膜炎和红眼病的区别
虹膜炎初期与红眼病(医学上称急性结膜炎)症状相同,都有白眼珠变红现象。故老经验认为也是红眼病,点几天消炎药水就好了,不治的话,到了第七天也会好。这种做法是错误的,错误的原因是不明白两病区别点:
第一,红眼病有大量的眼屎(眼眵)而虹膜炎一点没有。
第二,红眼病靠黑眼珠周边处的白眼膜红的轻,而虹膜炎此处红的特别重,似如一个红色的环带围绕在黑眼珠周边上。
虹膜炎是眼科急症之一,发展快,可使瞳孔后粘连及闭锁易导致失明,不可延误!千万记住,眼红无眼屎(眼眵)为重症——虹膜炎。眼红有眼屎(眼眵)多为轻症一红眼病。
用药原则
1、一般急性虹膜睫状体炎的治疗以局部点用阿托品散瞳、正确的眼药水及口服消炎痛治疗为主,必要时可加地塞米松球结膜下注射治疗;
2、对于严重病例或肉芽肿性炎症的病人可加用静脉滴注或口服地塞米松等皮质类固醇激素全身治疗,对于全身激素治疗无效的病列可加用环磷山胺等免疫抑制剂;
3、起因于感染者可加用青酶素等抗生素治疗;
4、出现了青光眼、白内障等合并症者可考虑手术治疗。
中药治疗
1、属于肝经风热型者的中医治疗配方:除眼部表现以外,兼有眩晕,耳鸣,两胁窜痛,小便黄赤,舌红苔薄黄,脉弦。用新制柴连汤化裁以祛风清热。方药:柴胡10克、黄连10克、黄芩10克、蔓荆子10克、丹皮10克、山栀子10克、荆芥10克、防风10克、赤芍15克、生地15克、丹参15克、茺蔚子15克、龙胆草12克、木通6克、甘草6克,水煎服。
2、属于肝胆火炽者的中医治疗配方:伴有性急易怒,口苦目赤,头晕,胁痛,小便灼痛,舌红苔黄,脉弦数。用龙胆泻肝汤化裁以清泻肝胆。药用柴胡12克、龙胆草15克、黄芩10克、栀子10克、泽泻6克、车前子10克、生地黄15克、木通6克、甘草6克,水煎服。若眼赤痛较甚者,可选用丹皮、赤芍、蒲黄凉血祛瘀;若口苦便秘,黄液上冲,宜加生石膏、知母、大黄等清泻阳明之火。
3、属于风湿夹热者的中医治疗配方:兼有四肢酸痛,尤以关节为甚,遇风寒,症状加重,舌红苔薄腻,脉浮数。用抑阳酒连汤化裁,以祛风除湿清热,药用独活10克、羌活10克、防已10克、白芷10克、防风10克、蔓荆子15克、茺蔚子15克、黄芩10克、黄连10克、栀子10克、黄柏10克、寒水石20克、生地黄20克、知母6克、甘草6克,水煎服。
4、属于肝肾阴虚者的中医治疗配方:伴有腰膝酸软,失眠多梦,五心烦热,潮热盗汗,舌红少苔,脉细数。用杞菊地黄汤化裁以滋养肝肾,清利头目。药用枸杞子15克、生地黄15克、山萸肉15克、丹皮10克、知母10克、黄柏10克、女贞子15克、牛膝15克、菊花15克、茺蔚子15克、甘草6克,水煎服。
西药治疗
虹膜炎原发病为风湿病者,使用抗风湿类药物如阿斯匹林、风平等;结核患者,进行抗痨治疗;对扁桃体、牙周和鼻窦等病灶感染者,及时控制炎症感染,必要时进行细菌培养,以选择敏感的抗菌药物。
1、外治法
(1)滴用清热解毒眼液:如黄芩眼药水或10~50%千里光眼药水。
(2)局部热敷:千里光全草50克,加水300毫升,煎至100毫升,用滤液热敷患眼,可退赤止痛。
(3)局部使用扩瞳剂:发病之初即用药物充分扩瞳,可防止瞳神干缺及由此而引起的一系列并发症,还可缓解眼部疼痛。用1%阿托品或软膏,每日点眼l~3次;如仍不能充分散瞳者,可使用1%的阿托品0.3毫升和利多卡因0.2毫升,Adr 0.2毫升,进行结膜下注射,可迅速扩瞳。
(4)局部抗炎:可的松或地塞米松服药水,每l~2小时滴眼一次,每晚涂本品眼膏一次,炎症重者,用醋酸可的松或强的松龙5~10毫克,或地塞米松2.5毫克作结膜下注射,每周1~2次。
2、针刺疗法
(1)体针:选取瞳明、攒竹、瞳子髎、丝竹孔、肝俞、足三里、合谷等。
(2)耳针:可取耳尖、神门和眼等穴。
处方
【处方1】硫酸阿托品0.1~0.2ml ,蒸馏水10ml,每日点眼6 次。
【处方2】0.05%肾上腺素溶液,点眼。
【处方3】0.5%可的松眼药水,点眼。
【处方4】0.5%氯霉素眼药水,点眼。
【处方5】0.5%新霉素眼药水,点眼。
【处方6】0.5%金霉素眼药水,点眼。
【处方7】0.5%红霉素眼膏,涂布患眼。
【处方8】0.5%金霉素眼膏,涂布患眼。
强直性脊柱炎引起的眼部损害的临床表现
眼损害是强直性脊柱炎最常见的关节外表现,以急性前葡萄膜炎和急性虹膜炎多见,也可发生急性结膜炎。眼部损害一般为急性发作,常单侧发病,约25%~30%的患者在患病后某一阶段出现眼部损害,也有些患者眼部损害出现在强直性脊柱炎关节病变之前,儿童型强直性脊柱炎患者眼损害发病率较成人低。如果虹膜粘连,则可出现瞳孔收缩、边缘不规则、眼压降低、眼球压痛,上述眼疾多为单侧、多发,也可双侧同时发生或交替发生,每次发作约持续4~8周,若治疗及时一般不遗留后遗症,对视力影响不大,如治疗不当或延误治疗,也可发生视力障碍。
虹膜炎常累及后面的睫状体引发虹膜睫状体炎。造成虹膜炎的原因不明,治疗首先要明确诱因。对于不明原因的发红、不适或视力丧失迹象,不管其症状多么轻微,都应立即到医院就诊。患了虹膜炎,愈早加以治疗,疾病就愈容易治疗,产生并发症的可能性就愈低。药物使用还需在医生的指导下应用。 日常生活中注意合理卫生用眼,劳逸结合不要劳累,看电视看书时要注意时间,不可用眼过度。
饮食宜清淡,少吃脂肪,高糖,油煎的食品,不要吃土豆,不要喝酒和咖啡等刺激性饮料,少吃中医说的发物和辛辣食品,例如辣椒。多吃蔬菜,水果,纤维性食物,多喝水。治疗期间注意保暖避免感冒。因为个人身体情况不同,有的会复发,所以要定期到医院进行检查。
保持心情的舒畅,保证良好的睡眠,加强体育锻炼,慢跑,打太极拳等。
1、本站所有文本、信息、视频文件等,仅代表本站观点或作者本人观点,请网友谨慎参考使用。
2、本站信息均为作者提供和网友推荐收集整理而来,仅供学习和研究使用。
3、对任何由于使用本站内容而引起的诉讼、纠纷,本站不承担任何责任。
4、如有侵犯你版权的,请来信(邮箱:baike52199@gmail.com)指出,核实后,本站将立即删除。

















