-
急性失血性贫血 编辑
急性失血性贫血是因外伤或疾病致血管破裂,或凝血、止血障碍等原因使大量血液在短期内丢失,不仅影响血容量而且引起急性失血后贫血,其发生初期贮铁并不减少。
中医病名:急性失血性贫血
常见病因:因外伤或疾病致血管破裂,或凝血、止血障碍等原因使大量血液在短期内丢失
⒈各种外伤及外科手术时的出血;
⒉食道或胃底静脉破裂、胃或十二指肠溃疡等疾病引起的消化道大出血;
⒊宫外孕、前置胎盘或分娩时的各种妇产科大出血;
⒋内脏特别是脾、肝等脏器破裂时的出血;
⒌大量肺或支气管咯血;
⒍炎症、肿瘤等侵蚀血管壁引起的突然大出血;
⒎各种止血机制有缺陷的疾病,特别是血友病、血管性血友病、血小板功能障碍时的出血等。
急性大量失血的主要病理生理改变是血容量急骤减少,动脉血压降低。早期代偿机制是通过心血管动力学的调整及肾上腺能的刺激作用,使心率加快,心输血量增加,循环血量重新分配,皮肤、肌肉和脾、肾及胃肠道血管收缩,以保证重要脏器组织以及对缺氧敏感器官如心、肺、肝、脑组织的血液供应。该期主要临床表现是血容量不足。由于红细胞和血浆是按比例丢失,故测定血红蛋白和红细胞比积可仍在正常范围。2-3天后血容量的恢复主要依靠水、电解质和白蛋白从血管外被动员入血,使血浆容量扩增,血液被稀释,粘稠度降低,血流加快,有利于组织摄取更多氧,但另一方面血红蛋白浓度和红细胞比积不断下降,出现贫血。急性失血引起组织缺氧,可刺激肾脏产生红细胞生成素,促进骨髓幼红细胞增生,急性失血5天后,幼红细胞增生达高峰,骨髓的代偿能力取决于骨髓造血功能、红细胞生成素的反应以及铁供应是否充沛。
失血后的代偿作用需要一定时间,所以临床表现除个体状态外,决定于失血的量和速度,有无并发症以及患者的心理状况、体位、年龄、营养状态、心血管功能等。大多数年轻健康者,失血量在500毫升以下,特别是几小时以上的逐渐失血,很少引起症状,事后也不致发生贫血。约5%的患者特别是精神紧张、内心恐惧或突然起坐时,可有血管迷走神经反应,表现为软弱、出汗、恶心、心律缓慢及血压下降;随后有头晕,甚至短暂的昏厥。如失血量达1000毫升(约总血量的20%),休息时可无症状,但稍事活动有轻度心脏血管症状。
当出血量增加至1500-2000毫升(约总血量的40%左右),即使出血前患者很健康,出血后卧床休息,仍不免有口渴、恶心、气促、极度头晕甚至短暂意志丧失。由于血循环的重新分布,患者手足厥冷,面色苍白,尿量减少。血压、心输出量及中心静脉压均降低,脉搏快而无力,患者主诉头痛,逐渐出现休克症状,如烦躁不安、呼吸困难、脉搏细数、皮肤湿冷、恶心呕吐,最后昏迷。如没有采取有效的抢救措施,因缺氧明显,肾小管坏死、心肌梗死,可以导致死亡。
大量而迅速出血(达2500毫升左右,约占全血容量50%),由于循环血容量突然降低,代偿功能不能充分发挥作用,很快出现严重休克,而致死亡。原有慢性疾病、感染、营养不良、失水或本来已有贫血的病人,即使失血比上述量要少,也可导致休克或死亡。
诊断标准
急性失血后贫血诊断无统一的标准,临床诊断主要依赖于急性失血病史和于失血后一定时间内发生的贫血证据。建议需符合以下几点方可诊断。
⑴有明确的急性失血病史和临床表现。
⑵贫血发生于急性失血后较短时间内。
⑶达到贫血的诊断标准。
⑷如果患者原来即有其他原因引起的贫血则短时间内大量失血导致较基础水平下降20g/L方可诊断存在急性失血后贫血。
心血管
诊断步骤
诊断一般按是否有近期发生的贫血、有无近期失血及失血部位,按步骤进行。
急性失血后贫血诊断过程中干扰因素较多,贫血发展需经历几天而骨髓增生则要更晚才会出现。早期血容量下降血液浓缩,治疗过程中补充血容量造成血液稀释,输血补充血容量同时减轻了贫血的严重程度。对于急性失血后贫血,血象检查诊断价值有限。突发的、无法解释的贫血需怀疑潜在的出血。出现造血增生证据如网织红细胞增加及找不到红细胞过度破坏的证据则更要高度怀疑。最终诊断需找到出血部位。出血可从分析病史、体检影像学检查得到确认。大量外出血引起的明显贫血通常容易辨认消化道或女性产道大出血也有明显的症状和体征。内出血如动脉瘤破裂可无明显外部表现,但出现突发的休克、低血压、心动过速要怀疑有内出血的可能。腹膜后、体腔内、囊肿内出血诊断比较困难,B超检查对明确有无出血及出血部位有帮助。
贫血
⒉贫血伴急性感染 急性失血后贫血有时可因出血吸收产生吸收热而表现为中等程度发热,若伴有白细胞总数增加则需与急性感染鉴别,贫血征象逐渐明显而感染灶缺如可作为鉴别依据。
实验室检查
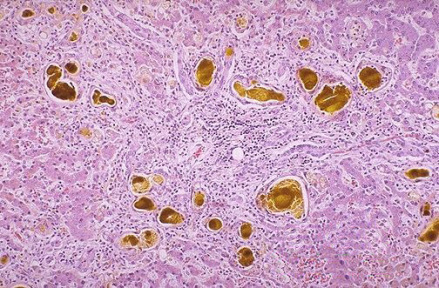
肝脏小胆管内可见黄绿色球状物,其为胆红素
⒉骨髓象骨髓可呈增生象主要是幼红细胞增生,呈正常幼红细胞型。
⒊游离胆红素和血清乳酸脱氢酶升高结合珠蛋白降低加上网织红细胞增多。
其它辅助检查
根据临床表现、症状体征、选择做X线、CT、MRI、B超、心电图生化等检查。
幼粒细胞
预后
经过积极治疗后,一般预后较好。
预防
避免外伤发生有出凝血病者应早期给予积极治疗。
血浆
1、本站所有文本、信息、视频文件等,仅代表本站观点或作者本人观点,请网友谨慎参考使用。
2、本站信息均为作者提供和网友推荐收集整理而来,仅供学习和研究使用。
3、对任何由于使用本站内容而引起的诉讼、纠纷,本站不承担任何责任。
4、如有侵犯你版权的,请来信(邮箱:baike52199@gmail.com)指出,核实后,本站将立即删除。

















