-
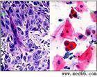
支气管癌 编辑
支气管癌
原发于身体其它部位的恶性肿瘤经血道或淋巴道转移到肺的相当多见。据统计在死于恶性肿瘤的病例中约20~30%有肺转移。恶性肿瘤发生肺转移的时间早晚不一,大多数病例在原发癌肿出现后3年内发生转移,亦有长达10年以上者,但也有少数病例肺转移灶比原发肿瘤更早被发现。转移到肺的原发恶性肿瘤多来自乳腺、骨骼、消化道和泌尿生殖系统。
肺转移性肿瘤大多为遍及两侧肺的多发性病灶,大小不一,密度均匀,对这些晚期癌肿病例,目前尚无有效的治疗方法。少数病例肺内只有单个孤立的转移病灶则可考虑外科治疗。
孤立性肺转移病例临床上一般不呈现明显症状,大多在随诊原发肿瘤进行胸部X线检查时被发现。少数病例则可有咳嗽和痰血。肺部X线征象与周围型原发性肺癌相似。
概况
支气管癌
肺癌的病因复杂,迄今尚未完全清楚。目前公认的发病因素如下。
吸烟
大量调查资料表明,长期吸纸烟与肺癌的发生有密切关系,特别是鳞状上皮细胞癌和未分化小细胞癌。纸烟燃烧的烟雾中,主要含有尼古丁、一氧化碳、苯并芘、亚硝胺和少量放射性元素钋等多种致癌物质。国内外均报道,证明吸烟与肺癌的发生呈正相关,且与吸烟量呈正比。吸烟时间愈长,量愈大,开始吸烟的年龄愈小,发病率与死亡率愈高,其中吸烟时间长短比吸烟量多、少更为重要。美国Bruce Arme指出,纸烟中致癌物质,按其重量计算,致癌性不强,但吸入量过大,则致癌性增强。若每日吸烟20支,几乎相当每天吸1克沥青尘雾。日本国立癌症中心平山雄研究表明,1支烟的致癌危险性相当于放射线的1~4mrad。若每天吸烟30支,等于受到120mrad的辐射,相当于每天作1次胸部X线透视的射线量。吸烟者肺癌的发病率与死亡率较不吸烟者高10倍以上。戒烟10~15年后,肺癌的发病率与死亡率显著下降,几乎与不吸烟者近似。近几年国外研究证明,丈夫吸烟的妻子(被动吸烟者),发生肺癌2倍于夫妇均不吸烟者。其产生肺癌的危险度随丈夫的吸烟量增加而增高。病理检查表明,重度吸烟者有支气管上皮细胞纤毛脱落、鳞状上皮化生、非典型增生、核异形等现象,与肺癌的癌前期病变相似。
大气污染
根据统计,城市肺癌发病率比农村高、大城市比中小城市高、市区比效区高、近郊比远郊高、工业发达国家比工业落后国家高。这可能与工业废气和致癌物质(主要是苯并芘)污染大气有关。苯并芘的主要来源为煤和石油燃烧,内燃机的废气为主要污染源。
某些职业性致肺癌因素
如石棉、砷、铬、镍、铍、煤焦油、芥子气、二氯甲醚、氯甲甲醚、烟草的加热产物,放射性物质如铀、镭衰变过程中产生的氡和氡子体、电离辐射、微波辐射等,以及长期接触与吸入粉尘,均可诱发肺癌。有人观察接触石棉而又吸烟者,肺癌发生的危险性可增加约100倍,提示可能有协同作用。
瘢痕组织的刺激
慢性支气管炎、肺结核、弥漫性肺间质纤维化患者,肺癌发生率较正常人群高。据英国研究,慢性支气管炎患者的肺癌发生率,较无慢性支气管炎者约高出1倍。已愈合的结核病灶所引起的肺部瘢痕中可发生腺癌。我院总结236例肺癌,其中合并肺结核者占8.5%。37例细支气管肺泡癌中,合并肺结核3例,炎症瘢痕24例,慢性支气管炎19例。
其他原因
此外,病毒感染、真菌毒素(黄曲霉素)、维生素A缺乏、机体免疫状态低下、内分泌失调及家族遗传、原癌基因活化如基因突变、扩增、过度表达,以及抑癌基因缺失、突变,失去了对细胞调控的平衡能力等因素,对肺癌的发生可能起综合性的作用。
支气管癌一般分为四种组织学类型:鳞状上皮细胞癌,常发生于较大的支气管,通常通过直接蔓延或淋巴结转移而扩散;小细胞未分化癌,早期产生血源转移;大细胞未分化癌,,常经血流扩散;腺癌,常为周围性,一般通过血流扩散。所有类型都可经淋巴管扩散。
细支气管肺泡细胞癌(腺癌的一种亚型)会使气腔实变,且通常不向肺脏外扩散。尽管可表现为孤立型,但有时可以根据其多发病灶起源与其他类型支气管癌相鉴别。
肿瘤的表现取决于其部位和扩散的类型。由于大多数支气管癌位于支气管内,病人典型表现为咳嗽,伴或不伴咯血。慢性支气管炎病人,其原有的咳嗽加剧,顽固,表明有新生物的可能。产生于支气管肿瘤溃疡的痰量一般不大(尽管细支气管肺泡细胞癌的痰有时可以很多且呈水样),但可含炎症渗出物且往往带有血丝。小细胞癌不常见有咯血,大量出血(不常见)有力提示大血管受到侵犯。支气管狭窄可引起气体陷闭伴局限性哮鸣,常引起肺不张伴纵隔移位,肺膨胀度减少,叩诊浊音及呼吸音消失。被堵塞的肺发生感染,则有发热,胸痛和体重减轻,持续性的局限性胸痛提示新生物侵犯胸壁。外周结节样肿瘤在未侵犯胸膜或胸壁引起疼痛或转移到远处器官之前无症状。晚期症状有疲劳,乏力,活动减少,咳嗽加剧,呼吸困难,纳差,体重下降和胸痛。恶性肿瘤常引起浆液血性胸膜渗出液,且往往大量,反复发生。
Horner综合征(由于侵犯颈胸段交感神经)表现为眼球内陷,瞳孔缩小,上睑下垂和同侧面部无汗。Pancost综合征(由于臂丛和邻近的肋骨,以及脊椎受到肿瘤浸润)表现为所受累的上臂疼痛,麻木和乏力。上述两个综合征可同时存在。
肿瘤可直接侵犯食道,引起阻塞,有时并发瘘管。膈神经受侵犯可引起膈肌麻痹。侵犯心脏出现心律失常,心脏增大和心包积液。上腔静脉阻塞和左侧喉返神经麻痹(引起声音嘶哑)则是由于肿瘤直接压迫或邻近淋巴结压迫所致。
在上腔静脉综合征中,静脉回流受阻引起上胸部和颈部侧支静脉扩张;面部,颈部和躯干上部(包括乳房)水肿,充血;眼结膜红,肿;仰卧位气喘;及中枢神经系统症状(如头痛,视觉障碍和意识紊乱)。上腔静脉综合征有显著的临床表现,虽需密切注意,但不是急症。对原因不明的纵隔肿块,最重要的是要作出组织学诊断。
原发及继发癌的肺内扩散可发生淋巴管癌,引起亚急性肺心病,低氧血症加重和严重呼吸困难。肺内继发性血源性淋巴结转移常见,但继发性支气管侵犯很少见。血行转移至肝脏,脑,肾上腺和骨骼多见,可早期发生,在明显的肺部症状出现之前即可产生症状。
肺癌的副癌综合征表现很多,是肿瘤的肺外的远处效果。它们引起与原发性肿瘤或转移无关的代谢性和神经肌肉性紊乱,可能为癌肿发生或复发的首发症状。它们并不表明肿瘤已扩散在胸外。肥大性骨关节病(人所共知)是出现于手指和脚趾的杵状变形及长骨远端骨膜隆起。神经系统各部分均可受侵犯---主要为脑病,亚急性小脑变性,脑脊髓炎,Eaton-Lambert综合征和周围神经病变。可发生多发性肌炎和皮肌炎或由于产生具有激素作用的物质而出现代谢综合征。小细胞癌可分泌异位性ACTH,导致库欣综合征;或分泌ADH,导致水潴留和低钠血症,也可引起类癌综合征(面红,喘鸣,腹泻及心脏瓣膜损害)。鳞状上皮细胞瘤可分泌甲状旁腺激素样物质而产生高钙血症。其他与原发性肺癌有关的内分泌综合征包括男子乳房增大,高血糖,甲状腺毒症和皮肤色素沉着。亦可出现血液系统疾病,包括血小板减少性紫癜,白血病样反应,骨髓痨性贫血,红细胞增多及衰弱性血栓形成。
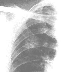
诊断资料的主要来源是病史和胸部X线.病史中如有早期局部症状,会引起对肿瘤的怀疑;胸部X线检查可明确病变部位,并可显示其对周围组织结构的影响,但多个肿瘤中心的大规模研究并未证实胸部X线和痰标本检查有助于筛查肺癌。尽管上述方法偶可早期发现肺癌,但早期发现对病人生存率并无影响。
当疑有肺癌时,在胸部摄片后即要获取组织以从组织学上确诊。体温常无特异性,偶可发现转移性病变的体征(肿大的淋巴结或肝脏肿大)。其他肺外体检表现已在前文讨论过.X线表现取决于受累的部位。
在无症状的病人,胸部X线常可见一个外周性小结节性肿块.如肿块直径<5~6mm,则难以发现.以往的X线检查结果对了解新生物颇有价值。对较小的孤立结节,穿透性强的X线和体层摄片可显示钙化,钙化的数量必须超过一个斑点,才能诊断为良性肿瘤或慢性肉芽肿性病变并排除肺癌。CT可显示其他技术看不到的病变,并可根据有无淋巴结扩散的迹象有助于肿瘤的分期。偶尔需要胸部磁共振成像(MRI)检查,对显示肺尖Pancoast瘤有无胸壁及椎体侵犯最有帮助。
有症状的病人,胸部X线可显示支气管狭窄和不规则肺实质浸润,或肺不张。在阻塞区或在周围型肿瘤内部可能看到空洞形成。阻塞性肺气肿不常见。偶尔,X线可显示在不相邻的肺叶内有浸润或阻塞区,此种现象不能用单个肿瘤灶解释而是支气管树弥漫性粘膜下淋巴渗透的结果.胸膜渗液往往与浸润性或外周部肿瘤有关,胸液的细胞学检查或胸膜活检可提供诊断。极少数情况下,在尚未发现肺内病灶时,痰中即可找到肿瘤细胞。
胸部MRI用于肺癌诊断和疗效评估尚属实验性,MRI在肺癌术前,可提供肿瘤组织平面的确切定位。
支气管镜检可用来显示并活检支气管肿瘤,用硬质支气管镜,可视范围限于主支气管及其一级分支, 但肿瘤的范围通过隆突活检和随机活检可确定,而且可感觉到气管外肿块产生的阻力。用纤维支气管镜可暴露次级支气管,并可通过冲洗,刷检和活检采取肿瘤标本。许多外科医生在手术前行纵隔镜检查以了解纵隔和肺门淋巴结情况,确定诊断以及区分肿瘤能否手术。
不超过10%的病例需要剖胸探查以确定诊断及肿瘤能否切除。禁忌证包括远处或纵隔转移及心肺功能不全。当纵隔检查或胸骨旁纵隔切开术(大多已被斜角肌淋巴结活检替代)或胸膜,肝脏活检证明有转移灶时,则不必作剖胸探查。可摸到的淋巴结和转移性皮肤小结是重要的诊断资料。
肺癌的分期有助于判断预后及治疗方法的比较和选择。可通过临床表现对肺癌进行分期,但在采用各种手段了解局部及全身病情后,特别是在胸廓切开术后再对肺癌进行分期更为准确,CT可发现肝,脑和肾上腺转移。放射性核素扫描可提示因转移而造成的骨骼受累。传统的骨X线检查或MRI常用以证实异常骨扫描的发现。痰的细胞学检查或组织活检可直接确定肿瘤的存在及其是否转移。
TNM(肿瘤、淋巴结、转移)系统是非小细胞肺癌按病期分类的标准。小细胞肺癌一般在诊断明确时已转移。它分为局限性(局限于1侧胸腔,伴或不伴纵隔和同侧锁骨下淋巴结受累)或广泛性(扩散超过以上范围)。
肺结节的鉴别诊断包括异物,非肺段性肺炎,结核的支气管内病灶性肺部表现,系统性真菌病,自身免疫性疾病,和由胸腔外原发癌引起的转移性病变,孤立性肺结节尤其难鉴别。
孤立性肺结节是一单发病灶,不管其大小,其周围2/3的周长有肺实质包围,不与肺门或纵隔相连,不伴肺不张或胸腔积液。引起孤立性肺结节的重要原因有新生物,感染和胶原性血管疾病。约40%的孤立性肺结节是恶性的,其中90%为原发性支气管癌. 引起感染最常见的原因根据不同的地区可分为粗球孢子菌,荚膜组织胞浆菌或结核分枝杆菌。类风湿关节炎和Wegener肉芽肿病是引起胶原性血管疾病的最常见原因。
对于孤立性肺结节,要首先通过与先前的胸片作比较加以评估。假如病灶在≥2年内无增大,则提示其为良性。CT扫描有助于发现钙化(一般为良性体征)和结节。
明确新生或增大病灶的病因需培养或组织学检查。培养的标本和组织可通过经胸针吸,经纤维支气管镜活检,胸腔镜或胸廓切开术得到。在未获得特异性诊断之前,病变应视为良性。
良性病变极少引起上腔静脉综合征,但结核,真菌感染,胸骨后甲状腺和主动脉瘤则可能。恶性肿瘤,包括淋巴瘤,霍奇金病,小细胞肺癌,鳞状细胞癌,生殖细胞肿瘤和乳腺癌常引起上腔静脉综合征。
原发性支气管癌预后不良,一般来讲,原发性支气管癌未经治疗者可生存8个月,约10%~35% 的肿瘤可切除,但总的5年生存率约13%.边界清楚,生长缓慢的肿瘤病人,切除肿瘤后5年生存率可在ⅢA期非小细胞肺癌的15%到Ⅰ期非小细胞肺癌的 70%范围内变化。周围小结节病灶经肺叶切除效果最佳,对于生存者应认真随访,因有6%~12%的人会发生第二次肺癌.因大多数小细胞肺癌患者在诊断时癌肿就已扩散至原发病灶以外部位,常无法手术。极少数情况下,早期小细胞肺癌可手术切除,但由于肿瘤容易复发,故主张使用顺铂和依托泊苷辅助化疗,早期小细胞肺癌治疗后第二次原发性癌发生率为25%~50%。
支气管肺癌的预防包括戒烟和避免接触可能的工业性致癌物质,有关对第二次原发性癌症的药物预防研究正在进行中。
西医治疗
非小细胞肺癌Ⅰ期和Ⅱ期的治疗选择手术切除;Ⅳ期或伴有恶性胸腔积液的ⅢB期的病人不行手术,T3N0M0或T3N1M0分类的病人(因胸壁侵犯)应考虑手术切除。手术切除应在无禁忌证,也就是没有肺外扩散,气管内肿瘤位置不太靠近气管以及无其他严重情况(如冠心病或慢性阻塞性肺病的肺功能不全)下进行。对所有考虑手术的病人均应作胸部和上腹部(包括肝和肾上腺)CT扫描。对考虑手术的病人如出现任何神经症状和体征(如颅神经麻痹,视野改变,神志不清或定向力障碍),需进行MRI和CT扫描。如病人主诉骨痛,或触痛,或因骨质破坏增加导致血清碱性磷酸酶升高时,需行放射性核素骨扫描。
老年病人并不排除在手术切除之外,肺癌在老年人中具高度侵袭性。肺癌未治疗的病人生存期常<8个月。相比较而言,美国70岁老人的平均预期寿命为男性11.1年,女性14.8年。限制生存的因素是肿瘤,不是年龄。
为安全起见,中心性支气管内病变需要作肺切除并摘除邻近的淋巴结。扩散到胸壁的肿瘤可以整块切除;有报道手术后放疗有好处,尤其是肺尖部肿瘤。
采用新辅助化疗能显著减少肿瘤负荷并提高痊愈及总生存率。某些有关新辅助化疗的研究显示其有较好的前景。然而,综合所有研究结果,对其在非小细胞肺癌手术切除或定量放疗中的作用,尚无法形成统一意见。
中医中药治疗
支气管肺癌是肿瘤科常见病,早期治疗首选手术切除。但由于种种原因,就医时大部分患者已至中晚期,丧失了手术治疗机会。近年来,中医药治疗肺癌已获得确切的疗效,在缓解症状,延长生存期方面发挥了特色。1983年,北川勋首次从红参中分离出20(S)-人参皂苷-Rh2。现在已经证实人参皂苷Rh2具有诱导癌细胞凋亡、分化及调控细胞周期的抗癌活性,通过增强人体的自然免疫能力,抑制癌细胞增殖和转移的作用。
中医中药治疗按病人临床表现症状,脉象、舌苔、神色等应用辨证论治法用中药治疗肺癌,可使病人的症状得到改善;免疫疗力提高。减轻痛苦,提高生存质量;延长寿命。中药用于肺癌治疗的各个时期,均取得良好的效果。金复康口服液特异性的靶向治疗非小细胞肺癌,早中晚期都可使用;参丹散结胶囊特别适合于中晚期肺癌,能很好的控制肺癌扩散转移,缓解晚期症状。肺癌晚期的胸水治疗首选臌症丸,中药利水有西药不可比拟的优势,无副作用。
中医对于肺癌的病因病机、辨证治疗的有关论述:
⒈痰结是肺癌的病理基础
《难经》云:“肺之积,名曰息贲……令人洒息寒热、咳嗽、发肺壅”。《素问·奇病论》云:“病胁下满气逆,二三岁不已……病名曰息积”。《素问·玉机真藏论篇》详细记载了晚期肺癌发热、胸痛引肩背、恶液质的症状,指出“大骨枯槁,大肉陷下,胸中气满,喘息不便,内痛引肩项,身热脱肉破?”。可见,“息贲”、“肺壅”、“息积”、“肺积”均可归为支气管肺癌的中医病名范畴。
肺癌的病因病机,《杂病源流犀烛》论述得较为中肯,认为:“邪积胸中,阻塞气逆,气不得通,为痰……为血,皆邪正相搏,邪既胜,正不得制之,遂结成形而有块”。该文深入认识到痰结而致胸中有形结块的病机。而无论是正气内虚、脏腑失调,还是外邪侵肺、寒热太过,均经过肺气贲郁,积聚成痰的病理过程。无痰,则无以生肺积,故痰结于肺是肺癌的病理基础。脾为生痰之源,肺为贮痰之器,肺脾气虚,阴阳失和,受于风寒或风热之邪,初未能成积聚,正虚祛邪不力,日久留滞成痰,痰气胶结,乃成肺积。痰瘀化热,灼伤血脉,则咳唾痰血。痰凝着于皮下,则见缺盆结核,流着于骨,则成骨痹,流于脑,则头痛目瞑。肺癌的脏腑病机与肺、脾二脏密切相关,痰结贯穿于肺癌由原发到转移的整个病程。
根据肺癌的病理机转,按照中医的辨证分型特点,大体把肺癌分为肺郁痰热、气虚痰湿、阴虚痰热、气阴两虚4个常见的临床证型。其辨证要点和施治方法分述如下。
肺郁痰热型症
咳嗽不畅,痰中带血,胸胁痛或胸闷气促,唇燥口干,大便秘结,舌质红或暗红、苔黄,脉弦或弦细。本证为肺气贲郁,血瘀痰壅。治宜宣肺理气,化瘀除痰。方用千金苇茎汤加味。处方:苇茎30g,桃仁、生薏苡仁、茯苓、冬瓜仁各15g,浙贝母20g,桑叶、三七各10g,守宫5g,法半夏12g,陈皮、甘草各6g。
气虚痰湿型症
咳嗽痰多,胸闷短气,少气懒言,纳呆消瘦,腹胀便溏。舌质淡黯或淡红、边有齿印、苔白腻,脉濡或滑。证属肺气虚弱,子病及母,脾失健运,痰湿内阻。治宜补气健脾,除痰散结。方用参苓白术散加减。处方:党参、生薏苡仁各20g,茯苓、白术、浙贝母、白扁豆、炒穿山甲(先煎)各15g,山药25g,桔梗、砂仁(后下)各10g,陈皮、甘草各6g。
阴虚痰热型症
咳嗽少痰,或干咳,咽干不适,或咯痰带血丝,胸满气急,潮热盗汗,头晕耳鸣,心烦口干,小便黄,大便干结。舌质红绛、苔光剥或舌光无苔,脉弦数无力。本证为肺肾阴虚、痰热互结,治宜滋肾清肺,除痰清热。方用泻白散加味。处方:桑白皮、生地黄、知母、沙参、麦冬、浙贝母、鳖甲(先煎)、生薏苡仁、鱼腥草各15g,甘草6g。
气阴两虚型症
干咳痰少,咳声低微,或痰少带血,消瘦神倦,口干短气,目瞑失寐,烦躁心悸,纳差体乏,舌红干或嫩红、苔白干或无苔,脉沉细。证属肺脾两虚,肾阴枯竭。治宜益气养阴,扶正除积。方用生脉散合六味地黄汤加减。处方:党参、麦冬、五味子、茯苓、熟地黄、山茱萸、百合、浙贝母各15g,山药25g,桔梗10g,冬虫夏草、甘草各6g。
肺功能检查对能否手术并不提供明确答案,但有几条肯定可以作为胸廓切开术的简单标准。要记住,切除的范围只能在手术时才能确定,而且可能需要作肺切除.肺切除的肺功能标准是,第一秒用力呼气量(FEV1)>2L,即大于预计用力肺活量(FVC)的50%。而且,PaCO2 在静息时应正常.如果任何一条不符,则应通过灌注定量扫描,如可能的话,加上通气扫描,对局部肺功能加以评估(预计的手术后FEV1 等于未切除肺的灌注百分数乘以手术前FEV1)。如果这些检查表明,病人的FEV1 在肺切除后将仍然>800ml或术后仍大于正常FEV1 预计值的30%~40%.则可以接受这种危险性,如数值越接近这些标准,病人的活动能力将会受到限制。
已证实放疗对控制骨痛,上腔静脉综合征,脊髓压迫,脑转移,咯血和支气管阻塞有好处。采用术后放疗对Ⅰ期和Ⅱ期肺癌并无益处或有改善。有时放疗也用于因心肺功能不足或其他严重疾病不能行胸廓切开术者.放疗后3个月,应严密观察病人有无放射性肺炎的 X线及临床症状(包括咳嗽,呼吸困难和发热),可用强的松60mg/d口服控制持续1个月,以后逐渐减量用以控制放射性肺炎。预防性头颅放疗对于小细胞肺癌治疗完全缓解者可不使用。该方法可减少脑转移,但尚未显示可延长总的生存期。近距离放疗对支气管内病灶阻塞了大支气管时,可缓解症状。
在小细胞肺癌病人,采用多种药物,特别是顺铂和拓扑异构酶抑制剂联合或不联合放疗的生存率高于手术治疗。极少有治愈。曾有一些采用药物化疗改善病情的报道,但对支气管癌最有效的联合化疗方案的研究尚在进行中。对手术无法切除的Ⅲ A,ⅢB期非小细胞肺癌,化疗可将中期生存期提高6~12周并能改善病人的症状。有效的药物包括含铂制剂(顺铂和卡铂),长春花碱类(长春碱,长春新碱和异长春新碱),紫杉碱类(docetaxel和paclitaxel)以及多种拓扑异构酶抑制剂。
气道阻塞可用支气管扩张药物,氧气,激光支气管镜和物理疗法,抗生素用于合并感染者。
对于孤立的或偶见多发性肺转移瘤,通常都是在摘除原发肿瘤之后将其切除,5年生存率约为10%。
未治愈的肺癌病人常有焦虑和持续性疼痛。需联合使用镇静剂,麻醉剂和其他药物(参见第167节癌性疼痛).
鉴于肺癌病人死亡率高,需提早给予临终关怀。在临终期,可给予大剂量吗啡静脉滴注以缓解缺氧和疼痛等痛苦。采用经皮用药(如芬太尼)有利于临终关怀,可使更多的病人在家中平静地死去。
如组织学上确诊为上腔静脉阻塞综合征,治疗包括化疗(对小细胞肺癌,淋巴瘤或生殖细胞瘤)或放疗(对乳腺癌,鳞癌或淋巴瘤)。尽管皮质激素对由肺癌引起的该综合征的作用小于由其他疾病(如淋巴瘤)引起者,但仍可有一定的作用。
良性支气管肿瘤由于不良的局部作用,可继续长大或恶变,大多数良性周围型肿瘤在手术探查和切除之前无法确诊。
1、本站所有文本、信息、视频文件等,仅代表本站观点或作者本人观点,请网友谨慎参考使用。
2、本站信息均为作者提供和网友推荐收集整理而来,仅供学习和研究使用。
3、对任何由于使用本站内容而引起的诉讼、纠纷,本站不承担任何责任。
4、如有侵犯你版权的,请来信(邮箱:baike52199@gmail.com)指出,核实后,本站将立即删除。

















