-
中性粒细胞核左移 编辑
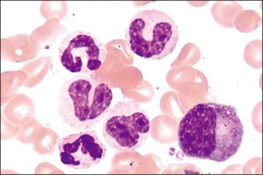
中性粒细胞的核象是指粒细胞的分叶状况,它反映粒细胞的成熟程度,而核象变化则可反映某些疾病的病情和预后。
核左移 杆状核 幼稚粒细胞 增多
核右移 分叶核 增多
中文名:中性粒细胞核左移
释义:指粒细胞的分叶状况
性质:中性粒细胞的分叶过少
特色:机体反应性强
中性粒细胞的核左移
中性粒细胞核左移是指外周血中性杆状核粒细胞增多或出现晚幼粒、中幼粒、早幼粒等细胞。
正常时外周血中中性粒细胞的分叶以3叶居多,杆状核与分叶核之间的正常比值为1:13,如杆状核粒细胞增多,或出现杆状以前幼稚阶段的粒细胞,称为核左移。核左移伴有白细胞总数增高者称再生性左移,表示机体的反应性强,骨髓造血功能旺盛,能释放大量的粒细胞至外周血中。常见于感染,尤其是化脓菌引起的急性感染,也可见于急性中毒、急性溶血、急性失血等。
杆状核粒细胞>5%,称轻度左移。
杆状核粒细胞>10%并伴有少数晚幼粒细胞者为中度核左移。
杆状核粒细胞>25%并出现更幼稚的粒细胞时,为重度核左移,常见于粒细胞性白血病或中性粒细胞型白血病样反应。
中性粒细胞核右移
病理情况下,中性粒细胞的分叶过多,可分4 叶甚至于5~6叶以上,若5 叶者超过3%时,称为中性粒细胞的核右移。核右移是由于造血物质缺乏,使脱氧核糖核酸合成障碍,或造血功能减退所致。主要见于巨幼细胞性贫血、恶性贫血和应用抗代谢药物治疗后,感染的恢复期,也可出现一过性核右移现象。
1、再生性左移:指核左移伴有白细胞总数增高者,表示机体反应性强、骨髓造血功能旺盛。见于感染(尤其急性化脓性感染)、急性中毒、急性溶血、急性失血等。分为:轻度左移,白细胞总数及中性粒细胞百分数略增高,仅杆状核粒细胞增多(>5%),表示感染程度较轻,机体抵抗力较强。
2、中度左移,白细胞总数及中性粒细胞百分数均增高,杆状核粒细胞>10%并有少数晚幼粒细胞和中毒性改变,表示有严重感染。重度左移,白细胞总数及中性粒细胞百分数明显增高,杆状核粒细胞>25%,并出现幼稚的粒细胞。
3、退行性左移:指核左移而白细胞总数不增高、甚至减低者。见于再生障碍性贫血、粒细胞减低症、严重感染(如伤寒、败血症等)。
1、本站所有文本、信息、视频文件等,仅代表本站观点或作者本人观点,请网友谨慎参考使用。
2、本站信息均为作者提供和网友推荐收集整理而来,仅供学习和研究使用。
3、对任何由于使用本站内容而引起的诉讼、纠纷,本站不承担任何责任。
4、如有侵犯你版权的,请来信(邮箱:baike52199@gmail.com)指出,核实后,本站将立即删除。

















